新しいエコー観察装置を導入しました

最新のエコーを導入しました!

 

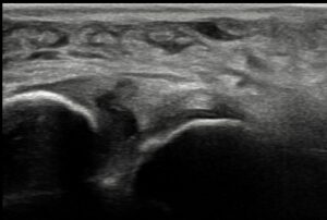
これまでのものより画質が良く、より細かな描出ができるようになりました。

より分かりやすく、より正確に、より早く、病態の把握とご説明ができることと思います。

 

 

手首の骨折(橈骨遠位端部骨折)

 

 

手首の腱鞘炎

 

 

足首の靭帯断裂

 

 

 

 

鎖骨骨折(10日後)

 

 

 

野球肘

 

 

急なケガをしてしまったら川﨑接骨院へご連絡ください

 

万が一、あなたやあなたの周りのひとがケガをしてしまったらすぐにご連絡ください。

当院ではあなたが最速で治る方法をご提供いたします!

https://k-d-g.com/

 

川﨑接骨院 【緊急連絡先】

24時間急患受付

080-9550-9615

 

LINEでのご相談は(LINE ID;ks-hone)からご連絡ください。